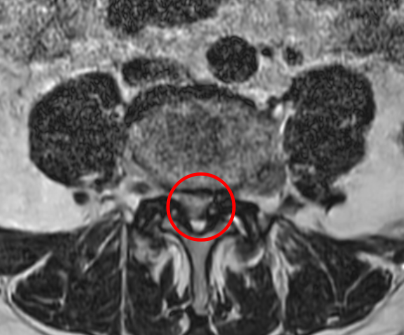
治療前

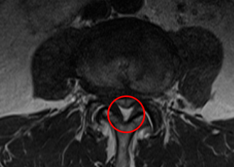
治療後

┃患者さんの情報
<年齢・性別>
80代男性
<病名>
- 腰部脊柱管狭窄症
- 腰部すべり症
┃治療前の経過・ご相談内容

他院で「脊柱管狭窄症」と診断された経緯がある患者さん。最近、歩くときに足が上がりにくくなったそうで、軽度の痛みもあるとのことでした。また腰の左側にも痛みがあるとのこと。「手術が必要かどうかも含めて、治療方法の相談をしたい。手術であれば日帰り手術がいい」と来院されました。
┃検査・診断


腰痛MRIを確認したところ、L3/4と、L4/5の2か所に腰椎すべり症が原因とみられる脊柱管狭窄症を認めました。L4/5は特に狭窄が酷くなっていました。
痛みの原因は2か所の狭窄だと考えられます。
┃治療内容
- PEL(脊柱管狭窄症内視鏡下術)
- PRP療法(濃縮血小板由来の成長因子を投与する再生医療)
今回は2か所ある狭窄のうち、一番強く狭窄しているL4/5の手術を行うことになりました。治療開始前には、「L3/4にも狭窄があるため、どの程度症状が軽減するのかは、術後の経過を見ないとわからない」ということを患者さまご本人と奥様に説明させていただき、了承をいただきました。
治療では、痛みの原因だと考えられるL4/5の狭窄を取り除く手術「PEL」を局所麻酔下のもとで実施し、神経の圧迫を取り除きました。最後には、神経細胞の修復作用効果と、患部の修復促進効果を期待して、再生医療「PRP療法」を施しました。
┃治療後の経過


手術の翌日には、座っていると少し痛みが出るものの、これまであった左足の痛みはなくなったそうです。さらに術後1か月目には腰痛は10から2に、足の痛みは10から0になりました。術後の腰椎MRIでもL4/5が減圧していることを確認しました。さらに術後2か月目は、腰痛の痛み指数も0になりました。
術後5ヶ月目の経過検診では、「歩行距離が伸びた」というお声もいただきました。
なお、術後7か月目には、「左側のお尻に痛み、左足に痺れが出てきた」とのこと。診察時に発見していたL3/4の脊柱管狭窄症が悪化していることが原因と判断し、L3/4の手術を実施しました。2回目の手術内容については、別途記載します。
※痛みや痺れの具合を1~10の10段階で評価してもらっています。数字が大きいほど症状が強く出ています
<治療期間・回数>
日帰り
<費用>
1,540,000円(税込)
<診療種別>
自由診療
<注意点>
- 治療効果が出るまで3週間〜3ヶ月程度かかります。
- 治療効果については個人差があります。同一の効果が得られない可能性があることをご承知おきください。
- 治療後は内出血、腫れ、発赤、疼痛、かゆみ、変色、および圧痛が発生することがあります。ごく稀に術後血腫、感染、神経損傷が出現することもあります。
┃今回の治療法について詳しくはこちら
<PEL(脊柱管狭窄症内視鏡下手術)>
低侵襲手術であるPEL(脊柱管狭窄症内視鏡下手術)は7〜8mmの小さな切開で済み、日帰り手術が可能です。大きな切開を伴う除圧術や固定術では全身麻酔が必要ですが、内視鏡下で行うPELは局所麻酔で神経の圧迫を取り除けます。早期に社会復帰したい方や、持病や年齢により全身麻酔下の手術が受けられない方にとって、特に利点の大きい手術です。
<PRP療法(多血小板血漿)>
PRP療法(多血小板血漿療法)は、患者様自身の血液から血小板を抽出・濃縮し、患部に注射する治療法です。血小板にはさまざまな成長因子が含まれており、組織の修復を促す効果が期待できます。
【関連記事】
・80代女性「腰痛が酷くて歩けない」脊柱管狭窄症を日帰り手術×再生医療で治療した症例
・60代男性「脊柱管狭窄症再発で歩行障害も」日帰り手術×再生医療で治療した症例
・80代男性「固定術後の合併症である隣接椎間障害による痛みと痺れを『PEL(脊柱管狭窄症内視鏡下手術)』と再生医療『PRP療法』で治療した症例
┃YouTubeでも症例を紹介しています
YouTubeでもさまざまな情報や症例をご紹介しています。ぜひご覧ください。




東京メトロ
クリニック前にパーキング