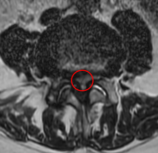
治療前

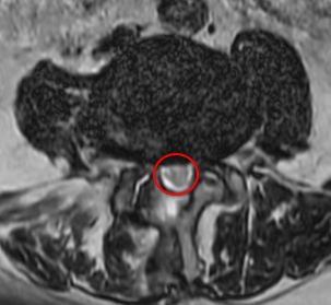
治療後

┃患者さんの情報
<年齢・性別>
女性80代
<病名>
- 腰部脊柱管狭窄症
- 椎間板ヘルニア
┃治療前の経過・ご相談内容

腰痛の日帰り手術を希望されて当院を受診された患者様です。右殿部、右下肢外側に痛みと痺れがあるとのこと。また歩いて5分程度でより痛くなり、休憩すれば治まるというお話しもいただきました。。
┃検査・診断


腰椎MRIの画像を確認したところ、赤い枠内のL4/5で脊柱管が狭窄しているのを確認しました。また「歩いて5分程度でより痛くなる」というお話しから間欠性跛行の症状が出ていると考えられます。
これらから、痛みの原因はL4/5部分の脊柱管狭窄症だと診断しました。
┃治療内容
- PEL(脊柱管狭窄症内視鏡下術)
- PRP療法(濃縮血小板由来の成長因子を投与する再生医療)
足の痛みと痺れ、歩行時の腰痛などの根本原因であるL4/5の狭窄を取り除く手術「PEL」を施し、神経の圧迫を取り除きました。またこの手術と同時に神経細胞の修復作用効果を期待して、濃縮血小板由来の成長因子を患部に注入する再生医療「PRP療法」を行いました。
┃治療後の経過


手術の翌日には日帰り1ヶ月後には痛みとしびれが軽減し、術後1か月経過時には主症状に挙げていた痛みや痺れは、手術前と比べて10から0に緩和しました。
また術後の腰椎MRIで脊柱管狭窄症のあったL4/5の箇所が減圧されている所見を認めました。現在は、もともとあった右下肢の痛みと痺れ、腰痛はなくなり、「痛みを気にすることなく趣味の絵描きができるようになった」とお話しされていました。
※痛みや痺れの具合を1~10の10段階で評価してもらっています。数字が大きいほど症状が強く出ています
<治療期間・回数>
日帰り
<費用>
1,540,000円(税込)
<診療種別>
自由診療
<注意点>
- 治療効果が出るまで3週間〜3ヶ月程度かかります。
- 治療効果については個人差があります。同一の効果が得られない可能性があることをご承知おきください。
- 治療後は内出血、腫れ、発赤、疼痛、かゆみ、変色、および圧痛が発生することがあります。ごく稀に術後血腫、感染、神経損傷が出現することもあります。
┃今回の治療法について詳しくはこちら
<PEL(脊柱管狭窄症内視鏡下手術)>
低侵襲手術であるPEL(脊柱管狭窄症内視鏡下手術)は7〜8mmの小さな切開で済み、日帰り手術が可能です。大きな切開を伴う除圧術や固定術では全身麻酔が必要ですが、内視鏡下で行うPELは局所麻酔で神経の圧迫を取り除けます。早期に社会復帰したい方や、持病や年齢により全身麻酔下の手術が受けられない方にとって、特に利点の大きい手術です。
<PRP療法(多血小板血漿)>
PRP療法(多血小板血漿療法)は、患者様自身の血液から血小板を抽出・濃縮し、患部に注射する治療法です。血小板にはさまざまな成長因子が含まれており、組織の修復を促す効果が期待できます。
【関連記事】
・80代女性「腰痛が酷くて歩けない」脊柱管狭窄症を日帰り手術×再生医療で治療した症例
・60代男性「脊柱管狭窄症再発で歩行障害も」日帰り手術×再生医療で治療した症例
・80代男性「固定術後の合併症である隣接椎間障害による痛みと痺れを『PEL(脊柱管狭窄症内視鏡下手術)』と再生医療『PRP療法』で治療した症例
┃YouTubeでも症例を紹介しています
YouTubeでもさまざまな情報や症例をご紹介しています。ぜひご覧ください。




東京メトロ
クリニック前にパーキング