治療前

治療後

┃患者さんの情報
<年齢・性別>
70代女性
<病名>
- 腰部脊柱管狭窄症
- すべり症
┃治療前の経過・ご相談内容

右のお尻と、右膝から右下腿に痛みと痺れがあり、日帰り手術での治療を希望して当院を受診されました。
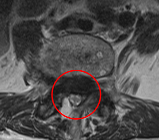
┃検査・診断


腰椎MRIの画像を確認したところ、L5とL4の腰椎がずれてしまっており、L4/5の脊柱管が圧迫されていました。そのため、痛みと痺れの原因は、すべり症に伴う脊柱管狭窄症と診断しました。
┃治療内容
- PEL(脊柱管狭窄症内視鏡下術)
- PRP療法(濃縮血小板由来の成長因子を投与する再生医療)
足の痛みと痺れ、歩行時の腰痛などの根本原因であるL4/5の狭窄を取り除く手術「PEL」を施し、神経の圧迫を取り除きました。またこの手術と同時に神経細胞の修復作用効果を期待して、濃縮血小板由来の成長因子を患部に注入する再生医療「PRP療法」を行いました。
術後1ヶ月目と2ヶ月目にはPRP療法による神経ブロック注射も行いました。
┃治療後の経過


PEL実施から2週間経過したときには、お尻の痛み、痺れが軽減したとのことです。また治療から4ヶ月後には手術前の痛みと比べて、10から3へ、しびれは10から1になりました(※)。術後のMRIでも狭窄症の圧迫はきれいにとれていました。
※痛みや痺れの具合を1~10の10段階で評価してもらっています。数字が大きいほど症状が強く出ています
<治療期間・回数>
日帰り
<費用>
1,540,000円(税込)
<診療種別>
自由診療
<注意点>
- 治療効果が出るまで3週間〜3ヶ月程度かかります。
- 治療効果については個人差があります。同一の効果が得られない可能性があることをご承知おきください。
- 治療後は内出血、腫れ、発赤、疼痛、かゆみ、変色、および圧痛が発生することがあります。ごく稀に術後血腫、感染、神経損傷が出現することもあります。
┃今回の治療法について詳しくはこちら
<PEL(脊柱管狭窄症内視鏡下手術)>
低侵襲手術であるPEL(脊柱管狭窄症内視鏡下手術)は7〜8mmの小さな切開で済み、日帰り手術が可能です。大きな切開を伴う除圧術や固定術では全身麻酔が必要ですが、内視鏡下で行うPELは局所麻酔で神経の圧迫を取り除けます。早期に社会復帰したい方や、持病や年齢により全身麻酔下の手術が受けられない方にとって、特に利点の大きい手術です。
<PRP療法(多血小板血漿)>
PRP療法(多血小板血漿療法)は、患者様自身の血液から血小板を抽出・濃縮し、患部に注射する治療法です。血小板にはさまざまな成長因子が含まれており、組織の修復を促す効果が期待できます。
【関連記事】
・80代女性「腰痛が酷くて歩けない」脊柱管狭窄症を日帰り手術×再生医療で治療した症例
・60代男性「脊柱管狭窄症再発で歩行障害も」日帰り手術×再生医療で治療した症例
・80代男性「固定術後の合併症である隣接椎間障害による痛みと痺れを『PEL(脊柱管狭窄症内視鏡下手術)』と再生医療『PRP療法』で治療した症例
┃YouTubeでも症例を紹介しています
YouTubeでもさまざまな情報や症例をご紹介しています。ぜひご覧ください。




東京メトロ
クリニック前にパーキング