
┃患者さんの情報
<年齢・性別>
男性 30代
<病名>
椎間板ヘルニア
┃治療前の経過・ご相談内容
右臀部の痺れがあり、日帰り手術を希望して当院への受診に至りました。
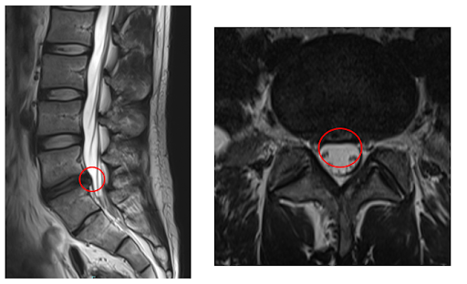
┃検査・診断
赤い枠で示されている部分(L5/S)に、ヘルニアを認めました。

┃治療内容
- PLDD(経皮的レーザー椎間板減圧術)
- 幹細胞上清液_歯髄由来

「PLDD(経皮的レーザー椎間板減圧術)」は、背中からレーザーファイバーが通った針を刺し、椎間板の内部にレーザーを照射してヘルニアの縮小を目指す治療です。
また、組織の回復を促進する効果を期待して「歯髄由来幹細胞上清液」も投与しました。これは乳歯や親知らずなどの歯から取れる幹細胞を培養した溶液の上澄みであり、さまざまな成長因子が含まれています。
┃治療後の経過

術後は少しずつ痺れが軽減しており、ヘルニアの縮小も認められました。
<治療期間・回数>
日帰り
<費用>
PLDD1ヶ所 825,000円(税込)
<診療種別>
自由診療
<注意点>
※効果には個人差があります。治療効果が出るまで、3週間〜3ヶ月程度かかる場合もございます。
※治療効果については個人差があります。同一の効果が得られない可能性があることをご承知おきください。
※治療後は内出血・腫れ・発赤・疼痛・かゆみ・変色・および圧痛が発生することがあります。ごくまれに術後血腫、感染、神経損傷のリスクが出現することもあります。
┃今回の治療法について詳しくはこちら
<PLDD(経皮的レーザー椎間板減圧術)>

レーザーを椎間板内の髄核に照射して縮小させ、神経の圧迫を軽減する治療法です。施術に要する時間は一箇所あたり15〜30分程度と短時間なので、日帰りが可能。1mm程度の穴から治療できるため、術後の出血や痛みが抑えられることも特徴です。
┃YouTubeでも症例を紹介しています
YouTubeでもさまざまな情報や症例をご紹介しています。ぜひご覧ください。



東京メトロ
クリニック前にパーキング