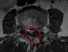
治療前

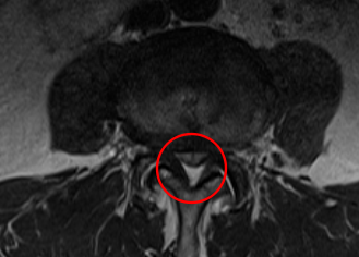
治療後

┃患者さんの情報
<年齢・性別>
80代男性
<病名>
- 腰部脊柱管狭窄症
- 椎間板ヘルニア
┃治療前の経過・ご相談内容

他院で「脊柱管狭窄症」と診断された経緯がある患者さん。最近、歩くときに足が上がりにくくなったそうで、軽度の痛みもあるとのことでした。また腰の左側にも痛みがあるとのこと。「手術が必要かどうかも含めて、治療方法の相談をしたい。手術であれば日帰り手術がいい」と来院されました。
検査をしたところL3/4とL4/5の2か所で脊柱管狭窄症を発症していました。治療箇所については、患者さんの希望もあり、その際は特に狭窄の強かったL4/5のみを当院にて治療しました。その際に、治療後にL3/4の影響がどれだけ出るのかわからないこと、悪化してしまう可能性があることをお話しし、了承をいただいたうえで、L4/5のみ日帰り手術を受けていただきました。治療によって痛みなどは解消いたしました。
しかし術後7か月目の検診の際、左側のお尻と足に痺れが出てきたそうで、お話しをいただきました。
┃検査・診断


前回の治療時に発見していたL3/4の脊柱管狭窄症が悪化した可能性があると考え、再度、腰椎MRIで画像検査を実施しました。すると、元々、黄色靭帯が肥厚して狭窄を起こしていたL3/4で、それとは別に椎間板ヘルニアが進行しており、以前よりも狭窄が強くなっていることを確認しました。
なお、前回治療したL4/5はしっかりと減圧されていました。
┃治療内容
- PEL(脊柱管狭窄症内視鏡下術)
- PED(経皮的内視鏡下椎間板摘出術)
- PRP療法(濃縮血小板由来の成長因子を投与する再生医療)
まず元々、L3/4の神経を圧迫していた黄色靭帯の肥厚を取り除く手術「PEL」を施しました。さらに椎間板ヘルニアを取り除く手術も行い、十分な減圧を行いました。止血を行ったあとには、修復作用を期待して濃縮血小板由来の成長因子を患部に注入する再生医療「PRP療法」も行いました。
┃治療後の経過


術後から1か月目の検診時には、左側のお尻の痛みが無くなり、痺れも軽くなったと言っていました。術後のMRI画像でも、しっかりと減圧されていていることを確認しました。しかし切開した箇所が一部癒着不全を起こしていたため、処置を行いました。再縫合から11日目の検診時には、問題なく癒着し、抜糸まで完了しました。
<治療期間・回数>
日帰り
<費用>
1,540,000円(税込)
<診療種別>
自由診療
<注意点>
- 治療効果が出るまで3週間〜3ヶ月程度かかります。
- 治療効果については個人差があります。同一の効果が得られない可能性があることをご承知おきください。
- 治療後は内出血、腫れ、発赤、疼痛、かゆみ、変色、および圧痛が発生することがあります。ごく稀に術後血腫、感染、神経損傷が出現することもあります。
┃今回の治療法について詳しくはこちら
<PEL(脊柱管狭窄症内視鏡下手術)>
低侵襲手術であるPEL(脊柱管狭窄症内視鏡下手術)は7〜8mmの小さな切開で済み、日帰り手術が可能です。大きな切開を伴う除圧術や固定術では全身麻酔が必要ですが、内視鏡下で行うPELは局所麻酔で神経の圧迫を取り除けます。早期に社会復帰したい方や、持病や年齢により全身麻酔下の手術が受けられない方にとって、特に利点の大きい手術です。
<PED法(経皮的内視鏡下椎間板摘出術)>
内視鏡を使用して椎間板を摘出する手術です。細い内視鏡を使って手術を行うため切開幅は約7mmと体への負担を抑えられ、日帰りが可能。PLDD法(レーザー治療)の適応は主に軽度〜中等度の椎間板ヘルニアですが、PED法では重症例にも効果が期待できます。
<PRP療法(多血小板血漿)>
PRP療法(多血小板血漿療法)は、患者様自身の血液から血小板を抽出・濃縮し、患部に注射する治療法です。血小板にはさまざまな成長因子が含まれており、組織の修復を促す効果が期待できます。
【関連記事】
・80代女性「腰痛が酷くて歩けない」脊柱管狭窄症を日帰り手術×再生医療で治療した症例
・60代男性「脊柱管狭窄症再発で歩行障害も」日帰り手術×再生医療で治療した症例
・80代男性「固定術後の合併症である隣接椎間障害による痛みと痺れを『PEL(脊柱管狭窄症内視鏡下手術)』と再生医療『PRP療法』で治療した症例
┃YouTubeでも症例を紹介しています
YouTubeでもさまざまな情報や症例をご紹介しています。ぜひご覧ください。





東京メトロ
クリニック前にパーキング