治療前

治療後

┃患者さんの情報
<年齢・性別>
70代男性
<病名>
- 椎間板ヘルニア
┃治療前の経過・ご相談内容

腰痛があるため、日帰り手術を希望されて当院を受診された患者さんです。
┃検査・診断


腰痛の原因を調べるため腰椎MRI画像を確認したところ、赤い枠内(L4/5)に椎間板ヘルニアが見つかりました。これが椎間板を圧迫して、腰痛が出てしまっていると考えられます。
┃治療内容
- PLDD(経皮的レーザー椎間板減圧術)
- 脂肪由来幹細胞上清液

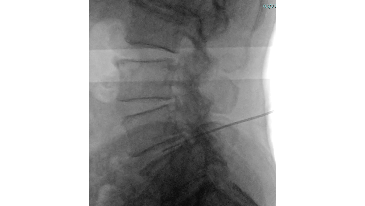
腰痛の根本原因でもある「腰椎椎間板ヘルニア(L4/5)」を取り除くため、症状のあるL4/5の1か所に「PLDD(経皮的レーザー椎間板減圧術)」を行いました。PLDDは、背中からレーザーファイバーが通った針を刺し、飛び出した髄核にレーザーを照射する治療法です。画像は実際、今回の患者さんに施術している様子です。
脂肪由来幹細胞上清液は、脂肪から幹細胞を培養した溶液の上澄みです。さまざまな成長因子が含まれているため、組織の回復を助ける作用が見込めます。
┃治療後の経過


術後から2週間後には腰痛が10点から5点へ軽減。このほか、こわばりや痛みも軽減したとのことです。また4ヶ月後にも経過観察を行ったところ、腰痛はさらに5点から2点に軽減し、終診となりました。
※痛みや痺れの具合を1~10の10段階で評価してもらっています。数字が大きいほど症状が強く出ています
<治療期間・回数>
日帰り
<費用>
PLDD1ヶ所 825,000円(税込)
<診療種別>
自由診療
<注意点>
- 治療効果が出るまで3週間〜3ヶ月程度かかります。
- 治療効果については個人差があります。同一の効果が得られない可能性があることをご承知おきください。
- 治療後は内出血、腫れ、発赤、疼痛、かゆみ、変色、および圧痛が発生することがあります。ごく稀に術後血腫、感染、神経損傷が出現することもあります。
┃今回の治療法について詳しくはこちら
<PLDD>

PLDDはレーザーを椎間板内の髄核に照射することで、椎間板を縮小し、神経の圧迫を軽減することで痛みを改善する治療です。施術に要する時間は一箇所あたり15~30分程度で、院内の滞在時間も数時間程度で済むため、日帰りでの手術が可能です。
【関連記事】
・40代男性の腰痛と右足のしびれを日帰り腰痛手術「PLDD(経皮的レーザー椎間板減圧術)」で治療した症例
・【症例紹介】椎間板ヘルニアによる腰痛をPLDD(レーザー治療)で軽減した40代男性の症例
・80代男性「固定術後の合併症である隣接椎間障害による痛みと痺れを『PEL(脊柱管狭窄症内視鏡下手術)』と再生医療『PRP療法』で治療した症例
┃YouTubeでも症例を紹介しています
YouTubeでもさまざまな情報や症例をご紹介しています。ぜひご覧ください。



東京メトロ
クリニック前にパーキング