
┃患者さんの情報
<年齢・性別>
男性 60代
<病名>
椎間板ヘルニア
┃治療前の経過・ご相談内容
腰の痛みとこわばりがあり、日帰り手術を希望して当院を受診された患者さんです。
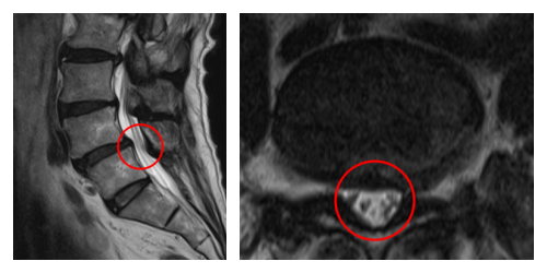
┃検査・診断

赤い枠で示されている部分(L4/5 )にヘルニアが認められました。
┃治療内容
- PLDD(経皮的レーザー椎間板減圧術)
- 脂肪由来幹細胞上清液

背中からレーザーファイバーが通った針を刺し、レーザーを照射してヘルニアの縮小を目指す「PLDD(経皮的レーザー椎間板減圧術)」を行いました。また、幹細胞を培養した溶液の上澄みである「幹細胞上清液」も投与しました。幹細胞上清液にはさまざまな成長因子が含まれており、組織の回復や症状の緩和を促進させる作用が期待できます。
┃治療後の経過

術前の腰痛を10とすると、術後およそ2週間で5まで軽減され、こわばりも和らぎました。4ヶ月後の経過観察では、さらに2まで腰痛が改善しています。
<治療期間・回数>
日帰り
<費用>
PLDD1ヶ所 825,000円(税込)
<診療種別>
自由診療
<注意点>
※治療効果が出るまで3週間〜3ヶ月程度かかります。
※治療効果については個人差があります。同一の効果が得られない可能性があることをご承知おきください。
※治療後は内出血・腫れ・発赤・疼痛・かゆみ・変色・および圧痛が発生することがあります。ごくまれに術後血腫、感染、神経損傷のリスクが出現することもあります。
┃今回の治療法について詳しくはこちら
<PLDD(経皮的レーザー椎間板減圧術)>

レーザーを椎間板内の髄核に照射して縮小させ、神経の圧迫を軽減する治療法です。施術に要する時間は一箇所あたり15〜30分程度と短時間なので、日帰りが可能。1mm程度の穴から治療できるため、術後の出血や痛みが抑えられることも特徴です。
┃YouTubeでも症例を紹介しています
YouTubeでもさまざまな情報や症例をご紹介しています。ぜひご覧ください。



東京メトロ
クリニック前にパーキング